Fale Comigo
Whatsapp

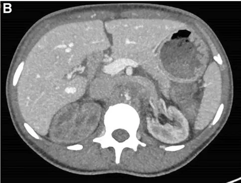
Paciente com dor lombar evoluindo com IRA e anúria

Valkercyo Feitosa

2023-08-02

Recomendação de posts Nefroupdates