Fale Comigo
Whatsapp

Casos Clínicos

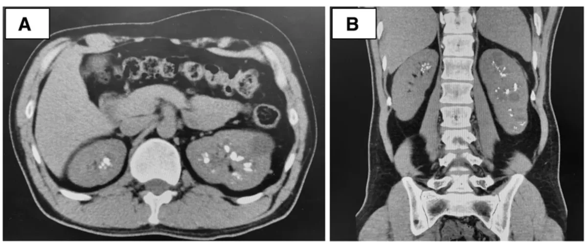
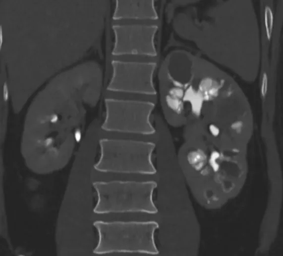
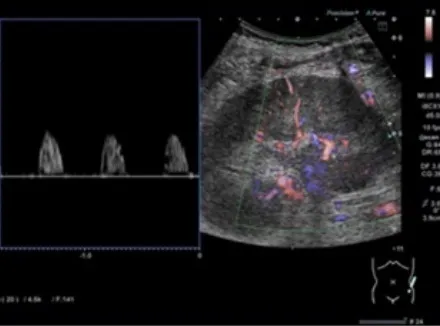
Hematúria e anormalidades em tomografia

Valkercyo Feitosa

2023-11-02

Recomendação de posts Nefroupdates

Highlights ASN 2025: Novas Fronteiras em IgA, descontinuação de Hemodiálise e o uso do Ômega-3 nos dialíticos

No congresso ASN 2025 foram apresentadas terapias inovadoras para Nefropatia da IgA com destaque para ensaios fase 3, estratégias de diálise em pacientes com Insuficiência Renal Aguda (IRA) e o ensaio PISCES demonstrou que suplementação diária com óleo de peixe reduziu eventos cardiovasculares em hemodiálise. Prepare-se para um mergulho rápido nas mudanças de conduta que vêm por aí!

Luís Sette

4 meses atrás