Fale Comigo
Whatsapp

Casos Clínicos Imagens

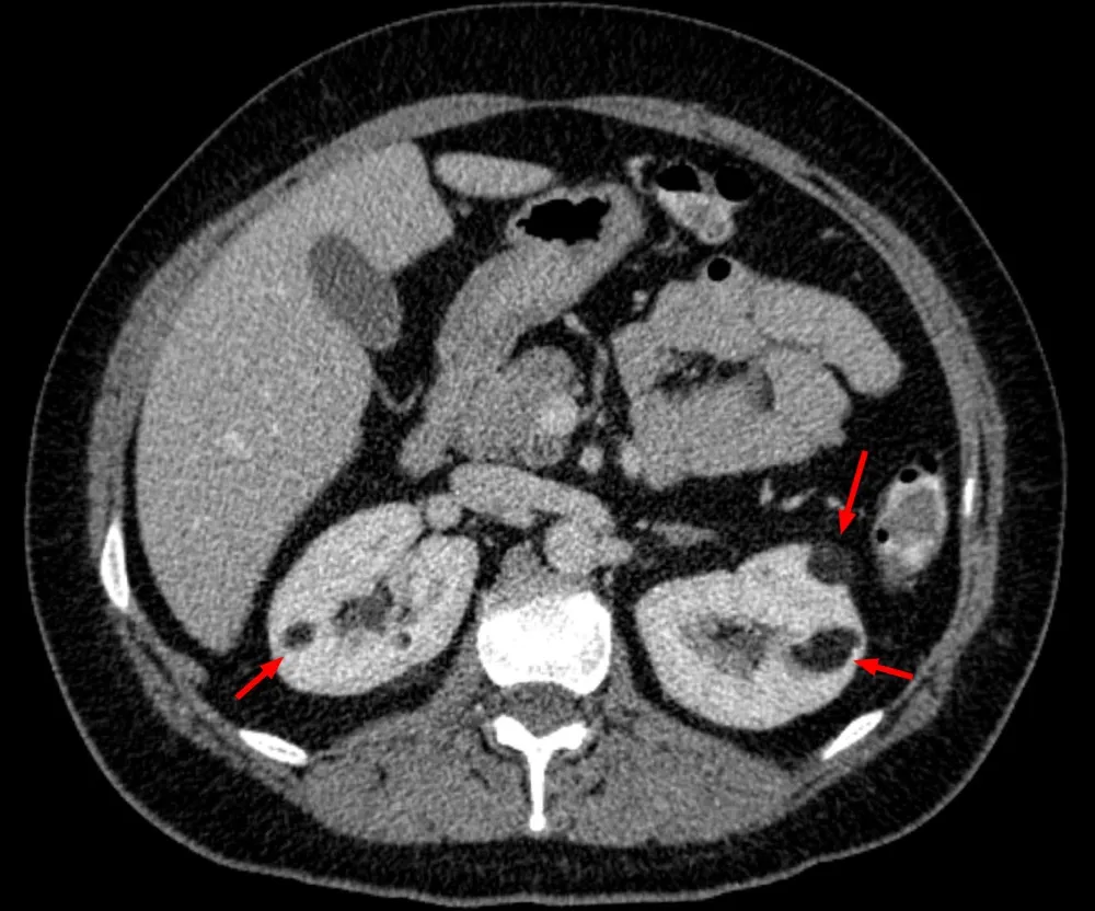
Angiomiolipoma renal, quando pensar em Esclerose Tuberosa?

Valkercyo Feitosa

2024-02-27

Recomendação de posts Nefroupdates

Imprecisões na avaliação da função renal: quando o número machuca mais que a doença

Imprecisões nas equações de TFGe podem gerar mudanças artificiais na função renal, especialmente na transição do cuidado pediátrico para o adulto. Essas variações não explicadas causam ansiedade, perda de confiança e até erros na condução clínica. Cabe ao nefrologista contextualizar os números e reduzir o sofrimento do paciente por meio de comunicação clara e interpretação clínica adequada.

Valkercyo Feitosa

25 dias atrás